日本補綴歯科学会専門医とつくる、
あなたに合った入れ歯
約15年にわたり、歯科大学附属病院に所属し、都内・神奈川県内で、4,000症例以上の「入れ歯治療」に携わってまいりました。
「補綴治療」を専門に深め、日本補綴歯科学会専門医として、培ってきた経験を、これからは皆さまの豊かな生活を支えられるよう、注いでまいります。
「入れ歯を作りたい」方も、「今の入れ歯が合わない、痛い」など「お悩みを抱える」方も、まずはお話をお聞かせ下さい。
患者さまお一人おひとりの「お悩み」、「願い」「生活の背景」に耳を傾け、専門医としての知識と技術を活かし “ あなたの毎日を心から支える、ぴったりの入れ歯 ” をご提案、ご提供いたします。
大切な人と美味しい食事を楽しみ、笑顔で健康的な生活をお送りできるよう全力でサポートいたしますので、どんな小さなことでもお気軽にご相談ください。
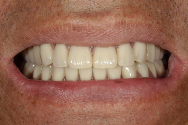
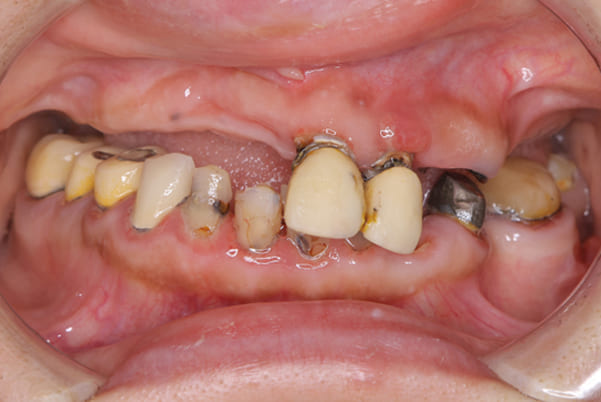
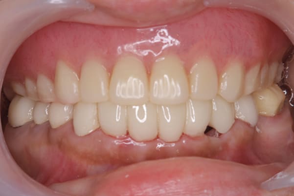
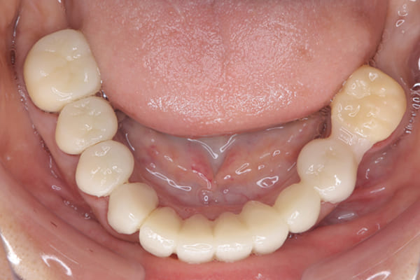
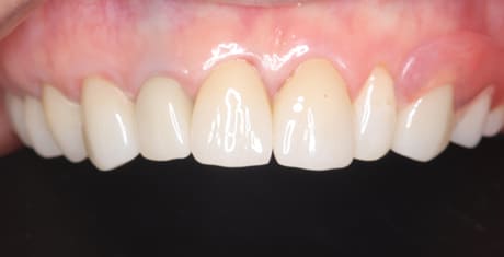
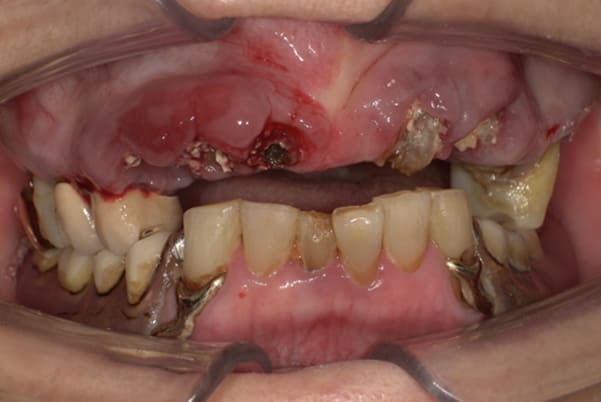
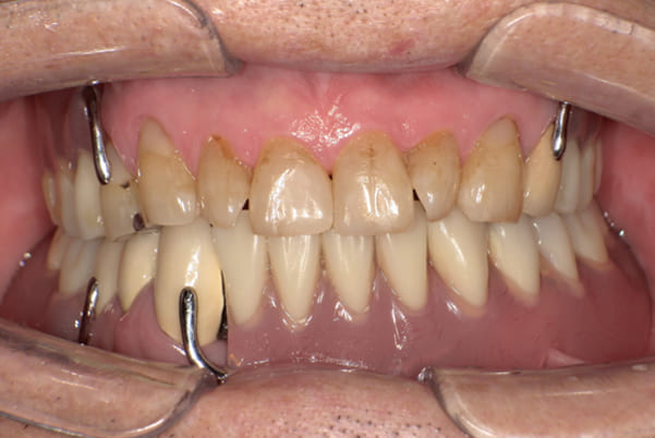
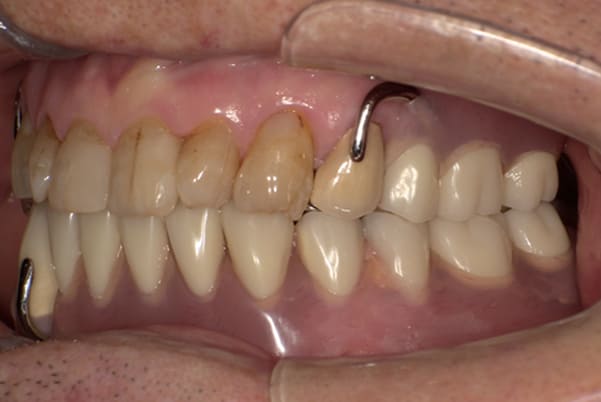
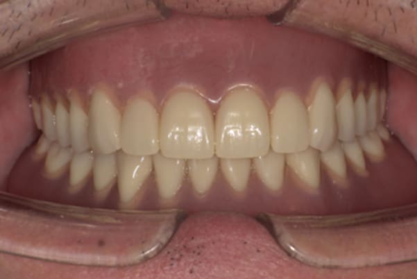
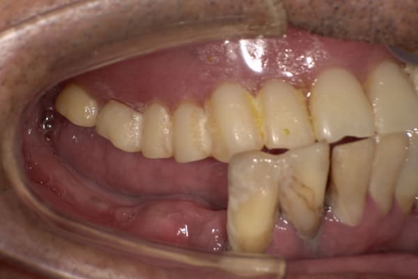
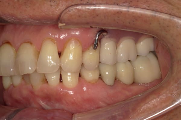
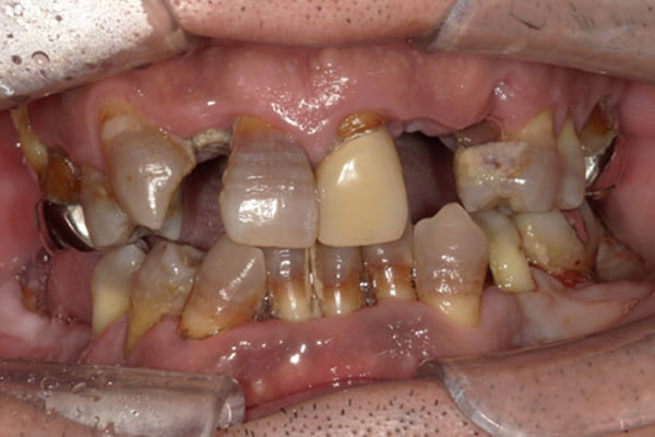
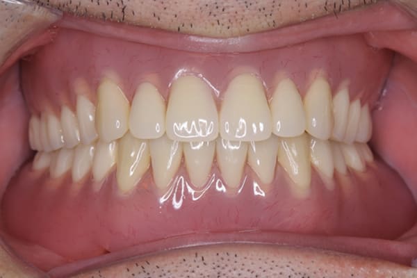
症例レポート[CASE.01]
義歯が合わず痛い、
見た目も気になる
-
- 性別・年齢
- 女性(40代)
-
- 主訴
- 下の義歯が合わず入れると痛みがある、見た目も気になるので外にはつけていかない
-
- 治療
- 下顎精密金属床部分入れ歯
-
- 治療期間
- 約2か月間
-
- 費用
- 55万円(税込)
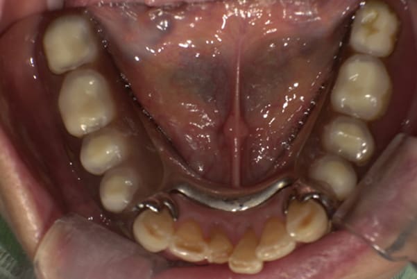
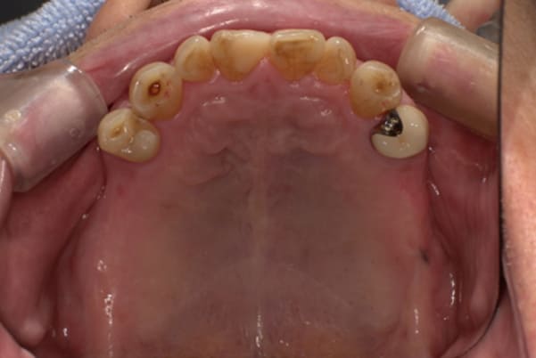
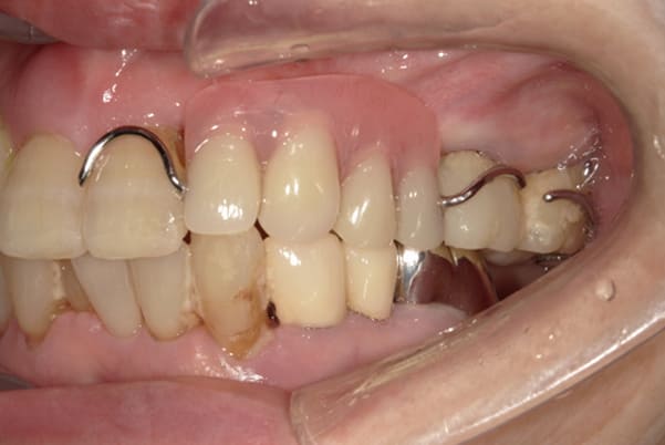
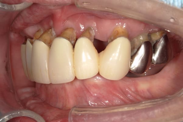
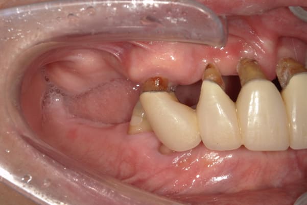
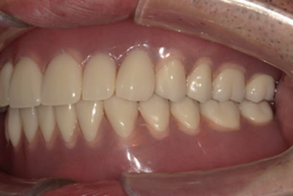
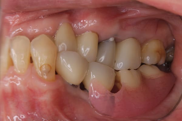
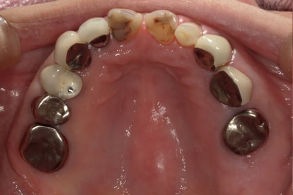
入れ歯が沈み込むことを防止するストッパーがない入れ歯を装着されていたため、お食事により入れ歯が沈み込みお痛みがでている状態でした。
笑った際に、太いバネが左右に見えるため、あまり大きく笑うことを避けていらっしゃいました。
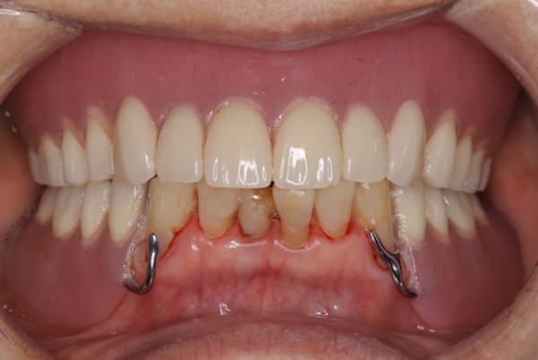
作製した入れ歯は、お食事の際に入れ歯の沈み込みを予防するため、適切なストッパーを付与することで、入れ歯は沈み込まなくなり、お痛みは消失しました。
右下のバネの位置は後ろに、左下のバネは見えづらい形態のバネを用いる設計とすることで笑った際にバネが見えないようになり、気にされることはなくなられました。

裏側の見えない部分は金属を用いることで、お食事の際の入れ歯の動き、沈み込みを抑えお痛みがでづらく、入れ歯の動きが抑制されることで、長期的に残りの歯に負担のかかりにくい設計としました。
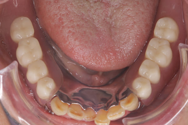
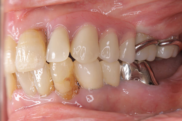
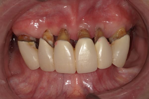
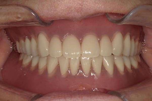
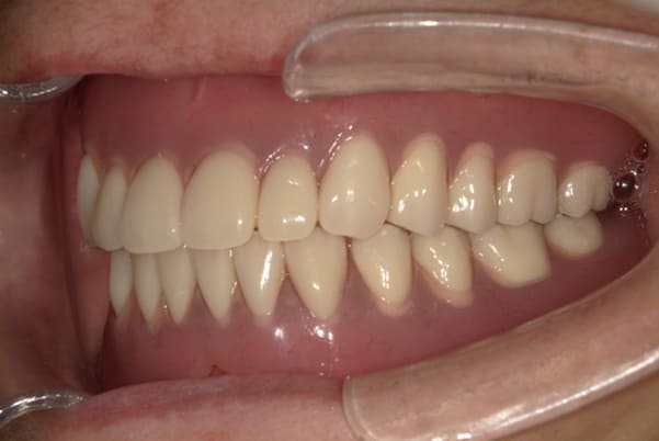
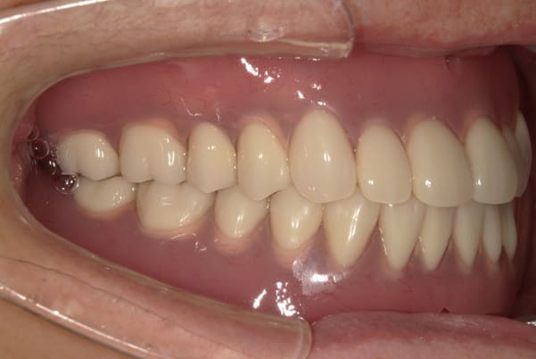
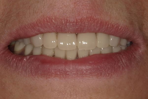
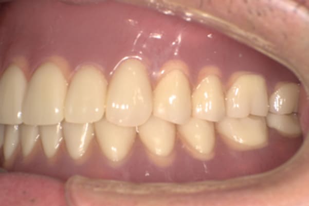
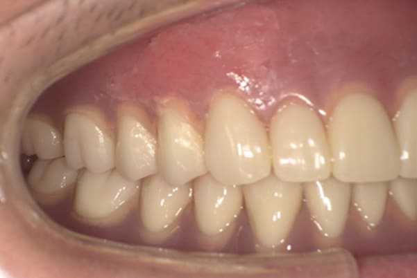
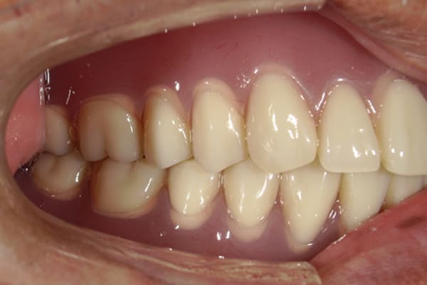
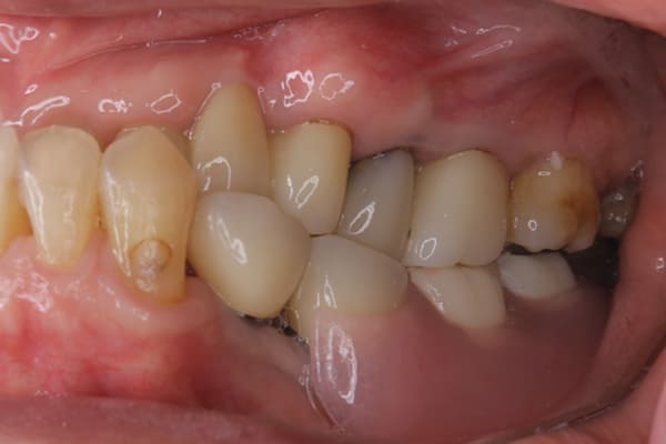
治療前後の口元の比較
こちらは、口を少し開いた時の治療前と治療後の
口元です。
正面から見た時にクラスプが目立たないように、
歯ぐきになじむ素材にて入れ歯を製作し、痛くなく自然に馴染み快適に生活を送れるようになりました。
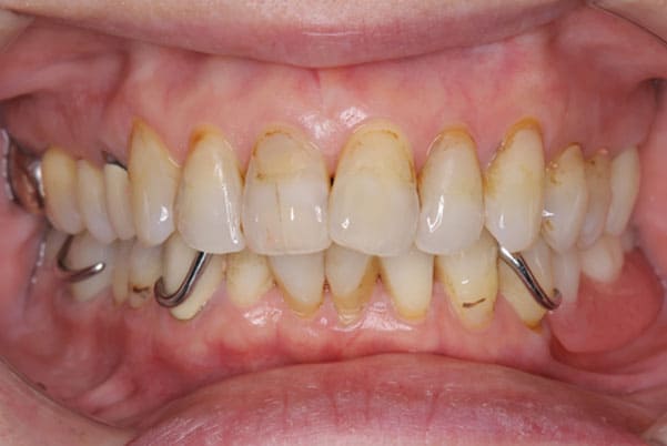
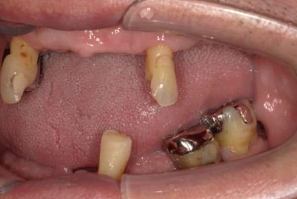
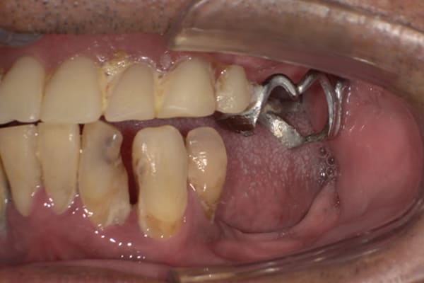
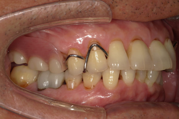
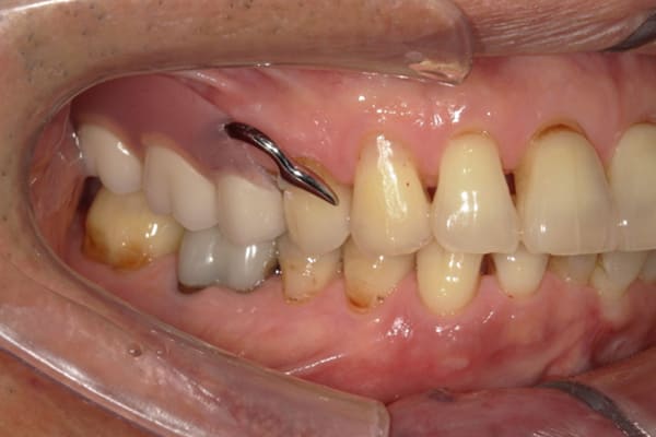
症例レポート[CASE.02]
入れ歯がカパカパして痛い、
歯がぐらぐらする
-
- 性別・年齢
- 男性(60代)
-
- 主訴
- 入れ歯がカパカパする、歯がぐらぐらして痛い、食いしばれない
-
- 治療
-
- 上顎精密総金属床総入れ歯
- 下顎精密金属床部分入れ歯
- ジルコニアクラウン4歯
-
- 治療期間
- 約3か月間
-
- 費用
-
- 上顎精密総金属床総入れ歯:55万円
- 下顎精密金属床部分入れ歯:55万円
(ミリング、ラベット加工込み) - ジルコニアクラウン:11万円×4歯
合計:154万円(税込)
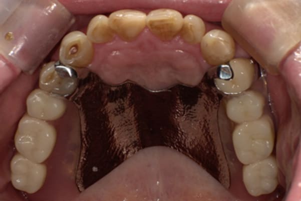
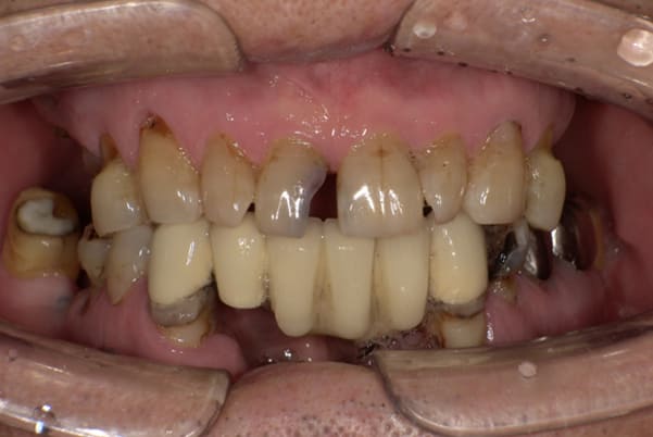
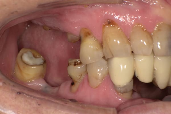
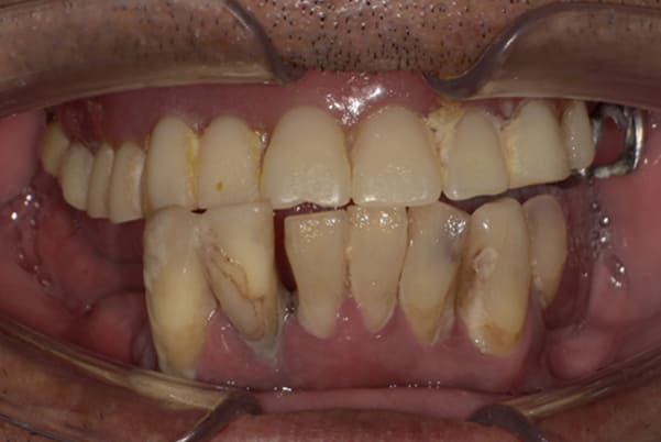
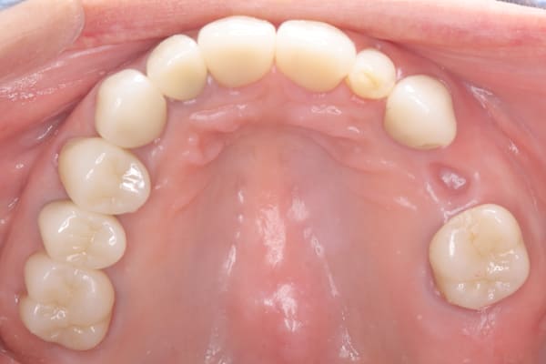
上の前歯が重度歯周病により動揺し、残せない状態のため、入れ歯も動揺がありました。
ご自身の歯に負担の少ないバネ、また見た目も改善
ご自身の歯に負担の少ないバネ

銀歯からセラミック歯に
バネをかける歯は繋げることで強度を増し、歯への負担を軽減し、歯の寿命を長くする設計へ。
バネがかかる歯の被せ物は、歯への負担を減らし、入れ歯が動きにくいようになる形態をあらかじめ付与することで、より入れ歯の機能が高まります。
治療を行う際、被せ物や入れ歯は、別々に考えるのではなく、一口腔単位としてお口全体のことを考え最良の治療計画を立てることが歯の寿命、機能効果を向上させるため、専門医としてこのことは常に心掛けて治療を行っています。

残りの歯に負担がかからないよう、被せ物と入れ歯の一体化を図った入れ歯
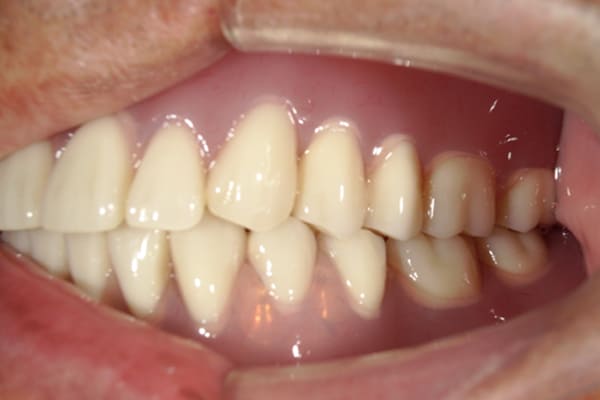
治療前は上下奥歯の入れ歯が削れていることで、かみ合わせが低くなり唇もつむった状態でした。
かみ合わせを適切な高さに戻したことで、本来の自然な口元へ。

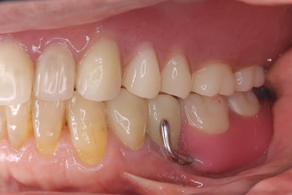
症例レポート[CASE.03]
入れ歯がガタつく、
見た目も改善したい
-
- 性別・年齢
- 女性(50代)
-
- 主訴
- 入れ歯がガタつく、何度調整してもよくならない。できれば見た目も良くしたい。
-
- 治療
-
- 上顎精密金属床部分入れ歯
- ジルコニアクラウン3歯
-
- 治療期間
- 約4か月間
-
- 費用
-
- 上顎精密金属床部分入れ歯:55万円
(ミリング、ラベット加工込み) - ジルコニアクラウン:11万円×3歯
合計:88万円(税込)
- 上顎精密金属床部分入れ歯:55万円
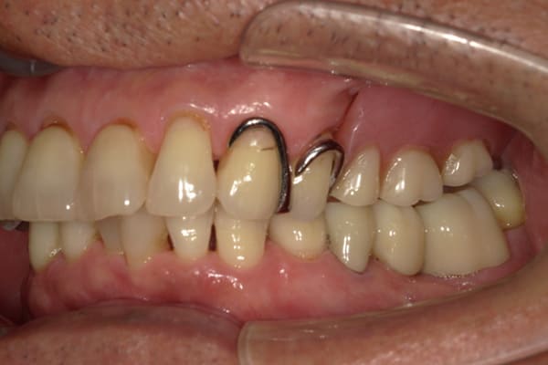
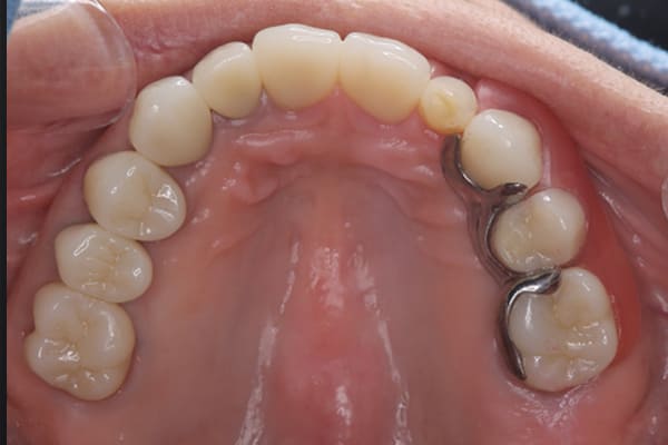
上あごに接する入れ歯に違和感がありになっていたとのことで、プラスチックが大きく削られた入れ歯をされていました。
そのため入れ歯の安定が悪く、お食事の際に入れ歯が動き、がたつきを感じられている状態でした。
前歯にバネにより見た目の問題も抱えておられました。
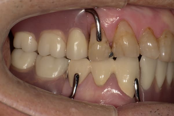
かみ合わせが低くなった歯を本来の高さに戻し、保険では使用できない歯に負担のかかりずらいバネで、歯の保存、審美性を確保しました。
前歯にバネを設定せず、見えない奥歯に維持力をもたせたバネを用い、またバネのかかる歯の負担軽減を目的に、被せ物は繋げることで強度を増す設計とすることで、入れ歯が動かずガタつき、審美性不良が解消されました。

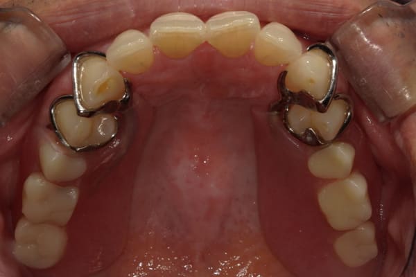
部分入れ歯と対合歯
入れ歯を修理する中で、入れ歯の上あごの接触面積ではなく、厚みに対しての違和感と診断し、薄い金属を用いた従来の厚みを1/3程度にした入れ歯にすることにより違和感は消失しました。
症例レポート[CASE.04]
前歯がとれて痛い、
食事もできず、見た目も悪い
-
- 性別・年齢
- 女性(60代)
-
- 主訴
- 前歯がとれて、痛い、食事ができない、見た目が悪く人に会えないので何とかしてほしい
-
- 治療
-
- 上顎精密金属総入れ歯
- 下顎精密金属部分入れ歯
- 磁性アタッチメント(白金加金) 1歯
-
- 治療期間
- 約5か月間
-
- 費用
-
- 上顎精密金属床総入れ歯:55万円
- 下顎精密金属床部分入れ歯:55万円
- 磁性アタッチメント:11万円×1歯
(白金加金)
合計:121万円(税込)
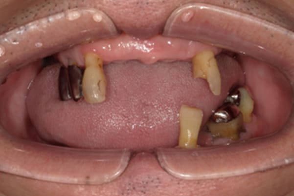
上前歯はブリッジの差し歯により根が折れ炎症を起こしお痛みのある状態でした。
原因は長期使用により下の義歯の歯が削れたことにより、下前歯が上前歯を突き上げ強い力が加わっていたことが根本的な原因と考えられます。
治療前は、奥歯が下がり、かみ合わせが乱れています。適切な入れ歯はそのままのかみ合わせで義歯を作るのではなく治療後のように、前歯から奥歯までのラインが真っすぐ揃った、かみ合わせの面を適切に付与し、よく咬め、残りの歯に負担がかからないかみ合わせとしました。
とにかく何も食べられないこと、人に会えないことから、なるべく早く何とかしたいとのご希望でした。
患者様とご相談の上、まず早急に上記を回復させるため、初診含め3度の来院でお食事ができ、見た目を回復できるように治療用義歯を作製、装着しました。
本来は、数本の上前歯の折れてしまって残せない歯は抜いてから歯肉の治癒を待ち、数か月後に型どりから作製になりますが、抜歯即時義歯といって、歯を抜く前に型、かみ合わせをとり、抜歯を行ったその日に上下の義歯を装着する特殊な治療法を用いたことで、10日後には治療用義歯をお口に装着することができ、お痛みもなくお食事ができ、ご友人とのお食事にも行けることが可能になりました。
本来、入れ歯作製は技工所と言って、義歯を作製する所に発送するため、作製には時間がかかりますが、院内に技工専用スペースを完備しており、長年、義歯治療において、技工も技術の習得してきましたので技工士さんではなく、かみ合わせの道具も私自身で院内で作製したことで、初診日の次の日にご来院いただきかみ合わせを採ることで、診断、型どり、かみ合わせ、装着まで10日という最短のご希望にこたえらた方です。
ここから、最終的な義歯の作製は従来通り行いました。
抜歯した歯肉が治癒するのを待っている間に、細かなかみ合わせ調整や、審美的なご希望、違和感などをお伺いしそれをもとに、最終義歯を作製しましたが、その作製中も治療用義歯は快適にお使いいただけるため、普段の生活を行いながら通院していただくことが可能となりました。
お写真は治療用の仮の入れですが普段通りお食事ができるとのことで少し食べ物もついています。。。
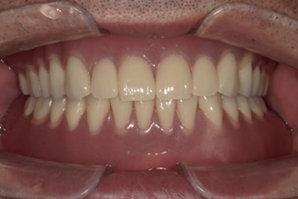
-

上顎治療前
-

上顎治療後
根のみの7本は虫歯にもなっており歯肉は腫れあがっています。
残りの歯もレントゲンで重度の歯周炎によりぐらぐらな状態でした。
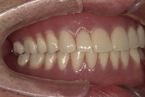
-

下顎治療前
-

下顎治療後
治療前の入れ歯の奥歯は、治療後の義歯と比較しても分かるように、歯が削れ平らになった状態です。
これにより奥歯のかみ合わせは低くなり、前歯のみが強くあたり、かみ合わせにより上の前歯大きな負担がかかっていたことにより、上の前歯が折れたことが考えられます。
-

精密な型どり
-

完成前に適合や見た目のチェック
精密な型どりは、通常保険治療では使用しない、この患者様だけに合った型を取るトレーを作製、また寸法変化の最も少ない精密なシリコンを用いてお口の中を精密に限りなく再現する型どりの方法で型をお取りしました。
完成前に適合や見た目のチェックでは、咬む力で義歯がたわみ、残りの歯に負担がかからないよう、見えない内側は、金属を用い、強度を増し、また金属のため薄くすることで違和感をなくす設計とし、完成前に試し合わせを行い、装着感、審美性を確認しました。
-

治療用入れ歯
-

精密義歯
治療用入れ歯は患者様とご相談し、早急にお痛みをとり、お食事ができることをご希望されていたため、歯を抜くと同時に仮の入れ歯が入りお食事をされた後のお写真です。直ちに、お痛みを取り除き、お食事ができるような治療計画としました。
精密義歯は、歯をぬいたあと歯肉が治ってから、精密な入れ歯を作製しました。治療中も、仮の入れ歯があるため、普段の生活に支障がなく、また仮の入れ歯を実際使ってのご意見、ご希望(バネが気になる)をお聞きした上で、精密な義歯に、ご希望を反映し作製しました。
従来の方法では、歯を抜いてから入れ歯を作るまでは、歯茎の治りを待つため数か月かかりますが、患者様のご希望で、見た目、食べることに支障が出ないよう、抜歯と同時に入れ歯を装着し、歯がない期間がない入れ歯を作製したため、その日から、お食事や外出が可能となりました。
また、当然ではありますが、患者様も残りの歯をこれ以上失いたくないとのご希望が強く可能な限り、残りの歯に負担がかからない機能性を重視し、また、バネがなるべく見えない設計とし、機能と審美の両方に重きをおいた入れ歯を作製し、お痛みなく、お食事も召し上がられるようになりました。
症例レポート[CASE.05]
食事ができるようになりたい
-
- 性別・年齢
- 女性(40代)
-
- 主訴
- 食事ができない、何とかしたい
-
- 治療
-
- 上顎精密金属床総入れ歯
- 下顎精密金属床総入れ歯
-
- 治療期間
- 約6か月間
-
- 費用
-
- 上顎精密金属床総入れ歯:55万円
- 下顎精密金属床総入れ歯:55万円
合計:110万円(税込)
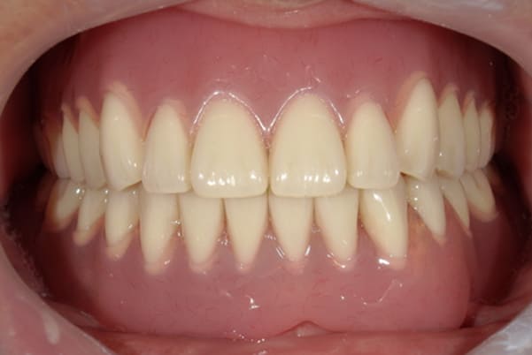
奥歯がなくなり、放置されたことで、かみ合わせが深く乱れた状態でした。
乱れたかみ合わせを治し、治療途中で見た目は患者様がご納得いく、歯の大きさ、色、形をご一緒に確認しながら入れ歯を最終的に作製しました。
-

上顎治療後
-

下顎治療後
症例レポート[CASE.06]
下歯がぐらぐらで痛い、
咬めるようになりたい
-
- 性別・年齢
- 男性(70代)
-
- 主訴
- 下歯がぐらぐらで抜けそうで痛い、何でも咬めるようにしてほしい
-
- 治療
-
- 上顎精密金属床部分入れ歯
- 下顎精密金属床部分入れ歯
- 陶材焼付鋳造冠 4歯
- 磁性アタッチメント 1歯
-
- 治療期間
- 約6か月間
-
- 費用
-
- 上顎精密金属部分入れ歯:55万円
- 下顎精密金属部分入れ歯:77万円
(治療用義歯含、咬合平面等修正) - 陶材焼付鋳造冠:16.5万円×3歯
(ミリング加工) - 陶材焼付鋳造冠:14.3万円×1歯
(ミリングなし) - 磁性アタッチメント:11万円×1歯
(白金加金)
合計:157.3万円(税込)
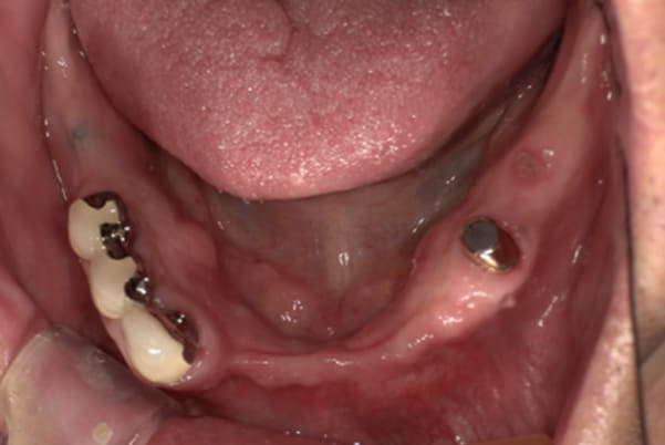
奥歯がなくなり放置されていたため、前歯に負担がかかり、歯周病も併発されており歯がぐらぐらでお痛みも伴う状態でした。
可能な限り残せる歯は保存し虫歯治療を行い、どうしても残せないお痛みの歯のみ抜歯を行いました。
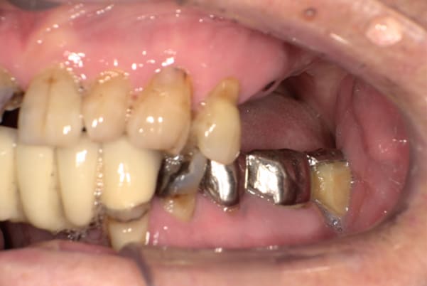
陶材焼着付鋳造冠 ミリングラべット加工
残りの歯が少ない場合は、入れ歯が動きやすく、またご自身の歯にも負担がかかるため、残りの歯の被せ物、入れ歯ともに、歯に負担がかかることを最小限にした特殊な加工を行い、歯を長持ちさせる設計としました。
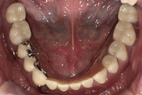
-

上の入れ歯
-

下の入れ歯
上の入れ歯は、治療用入れ歯において、前方に違和感を訴えられていたため、違和感のない範囲を治療用入れ歯で決定し、最後の入れ歯に反映することで、上下ともに初めての入れ歯でしたが、違和感を感じることなくご使用になられることが可能になりました。
このように、お一人おひとり、お口の中の感覚は個人差が非常に大きいため、治療用の入れ歯でかみ合わせ、見た目、違和感、お痛みなど、あらゆる項目をチェックし、ご意見をお伺いし、ご相談のうえ最終的な入れ歯の設計を行い作製することで、その方に合った入れ歯が出来上がります。
-

治療後に入れ歯を外した上顎
-

治療後に入れ歯を装着した上顎
-

治療後に入れ歯を外した下顎
-

治療後に入れ歯を装着した下顎
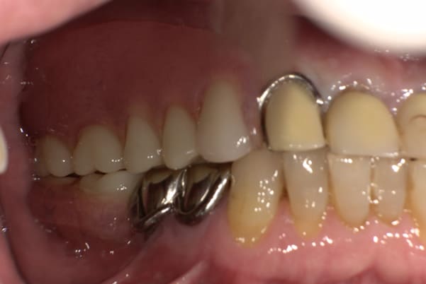
症例レポート[CASE.07]
子供の結婚式で恥ずかしくないようにしたい
-
- 性別・年齢
- 男性(50代)
-
- 主訴
- 食べれない、歯がぐらつく、子供の結婚式で恥ずかしくないようにしたい、歌いたい
-
- 治療
-
- 上顎精密金属床総入れ歯
- 下顎精密金属床総入れ歯
- 磁性アタッチメント(白金加金) 3歯
-
- 治療期間
- 約7か月間
-
- 費用
-
- 上顎精密金属床総入れ歯:55万円
- 下顎精密金属床総入れ歯:55万円
- 磁性アタッチメント:11万円×3歯
(白金加金)
合計:143万円(税込)
歯周炎により歯が多く抜けた状態で咬めるところがほとんどない状態でした。
検査の結果、上の歯3本は何とか残せる状態で、ご本人もできるだけ歯は抜きたくないとのご希望であったため、残せる歯もそのままバネをかけると負担が大きく数年で抜歯となる可能性が高いため、ご自身の歯に磁石を装着することで歯を長持ちさせ、入れ歯も外れにくい入れ歯にしました。

ご自身の歯を抜かず、磁石を装着することで、歯への負担を減らし、入れ歯も外れないような設計としました。
プラスチックの入れ歯は、強度がないため厚くなり違和感がでやすいこと、熱を通しにくく食べ物の熱が伝わりにくい、壊れることがあることが欠点のため、患者様の生活習慣やご希望をお聞きし、上顎には金属を用いることで、プラスチックの1/3程度の厚みとなり、温かい食べ物や冷たい食べものの熱をお口で感じ、丈夫な入れ歯の設計としました。

上顎に金属は用いていますが、外観に触れないため、機能性と審美性を持ち合わせた自然な口元になりました。
症例レポート[CASE.08]
娘とハンバーガーを食べたい
-
- 性別・年齢
- 男性(50代)
-
- 主訴
- 娘とハンバーガーを食べたい、お肉も食べれるようになりたい、カラオケに行きたい
-
- 治療
-
- 上顎精密金属床総入れ歯
- 下顎精密金属床総入れ歯
- 磁性アタッチメント(白金加金) 3歯
-
- 治療期間
- 約7か月間
-
- 費用
-
- 上顎精密金属床総入れ歯:55万円
- 下顎精密金属床総入れ歯:55万円
- 磁性アタッチメント:11万円×3歯
(白金加金)
合計:143万円(税込)
上下互い違いで咬む歯同士がない状態のため、柔らかいものを舌で潰され召し上がっておられました。
かみ合わせがなく、すれ違い咬合と言われる難症例に分類される状態でした。
上の歯は重度歯周炎でぐらぐらで、お痛みも繰り返しており、抜歯が必要な状態でした。
検査の結果、下の3本のうち、2本は何とか根は残せる状態であったため、虫歯の治療、根の治療を行い残すことに努めました。
上下の歯同士のかみ合わせがない状態で長年過ごされていましたので、当初はどこで咬んだら良いかわからない状態でしたが、治療用入れ歯を用い、調整を行い、本来のかみ合わせに戻すことが可能になりました。
初めての入れ歯が総入れ歯の場合は、大きな違和感を感じられる方が多いですが、上顎に金属を用いた入れ歯にすることで、厚みを薄くし違和感を抑え、お食事での温熱も感じられるようになりました。
下の総入れ歯は外れやすいため大きな虫歯はありましたが、虫歯治療を行い、根のみ残せた2本の歯に磁石を利用することで歌われた際も外れない入れ歯の設計としました。
下顎は舌があるため、上顎と比較すると総入れ歯の場合、外れやすい傾向があります。患者様はまだお若く、お肉がお好きだったとのこと、またお歌もご趣味とのことで、ご相談の上、なるべく外れない設計としました。
磁石を用いた入れ歯の設計により上下の入れ歯は、お食事やお歌を歌われ大きなお口を開けても外れない状態が可能になりました。
当初、ハンバーガーを召し上がりたいと仰っていましたが、今ではステーキも召し上がられ、カラオケでも入れ歯は外れず、滑舌が全く変わったと喜んで下さりました。
症例レポート[CASE.09]
下の入れ歯は
痛くて使わなくなった
-
- 性別・年齢
- 男性(50代)
-
- 主訴
- 上の入れ歯が外れ食事ができない、痛い。下の歯が膿んで腫れて痛い、下の入れ歯は痛くて使わなくなった。
-
- 治療
-
- 上顎精密金属床総入れ歯
- 下顎精密金属床総入れ歯
- 磁性アタッチメント(白金加金) 2歯
-
- 治療期間
- 約5か月間
-
- 費用
-
- 上顎精密金属床総入れ歯:55万円
- 下顎精密金属床総入れ歯:77万円
(治療用義歯含、咬合平面等修正) - 磁性アタッチメント:11万円×2歯
(白金加金)
合計:132万円(税込)
歯周病により歯はぐらぐらで歯茎は腫れた状態です。かみ合わせも、もともと受け口で下の歯が前にでているのが分かります。
治療後は、入れ歯により受け口も治し正常のお口元に。
治療前は上の入れ歯の歯のラインが湾曲し、下の歯が前に出ているのが分かります。
治療後は、歯のラインが真っすぐとなり、下の歯も正常のかみ合わせになっています。
金属を用いた総入れ歯の欠点に、歯茎がやせ、外れやすくなった際、裏打ちをする修理が困難であることが挙げられます。
しかし、右のお写真のように、後ろのみプラスチックを用いることで、金属を用いた場合と同じ装着感は保ったまま、プラスチック部を裏打ちすることで、入れ歯が外れにくいよう修理が可能となります。

受け口も改善され、自然なお口元に
症例レポート[CASE.10]
娘に勧められ治療を決心
-

治療前
-

治療途中
-
- 性別・年齢
- 女性(30代)
-
- 主訴
- 今まで忙しくて、歯医者は苦手でこれなかったが、娘に勧められ何とかしようと決心してきた。ほとんどやわらかいものしか食べれていないので、娘と外食したり、普通に食事ができること、人前でマスクなしで普通に話せるようになりたい
-
- 治療
- 【治療途中】
治療用レジン床総義歯(咬合平面修正)
下顎プロビジョナルレストレーション
(精密仮歯) 11歯
-
- 治療期間
- 約2か月間(治療途中)
-
- 費用
-
- 治療用レジン床総義歯:33万円
(咬合平面修正) - プロビジョナルレストレーション:
1.1万円×11歯(精密仮歯)
合計:45.1万円(税込)
- 治療用レジン床総義歯:33万円
ほぼすべての歯に虫歯があり、歯肉にも炎症があり、歯が抜けてしまっている状態です。
大きな問題は歯の喪失により、かみ合わせが低くなり、下の歯と上の歯茎の距離がないことです。
この低いかみ合わせの状態が長期にわたったため、顎の関節や筋肉にお痛みがでたり、歯が入るスペースがないため、入れ歯やインプラントなどの治療が行うことができません。そのため、適切な高さのかみ合わせを計測し、その高さで義歯と仮歯を装着しました。

仮歯
適切なかみ合わせを設定し作製した下顎の仮歯。
-

初診時
-

仮歯装着時

まだ治療途中ですが、お仕事がご多忙とのことを考慮し3回目の来院で可能な限り機能性、審美性を回復
症例レポート[CASE.11]
義歯が浮く、
硬いものを食べると痛い
-
- 性別・年齢
- 女性(40代)
-
- 主訴
- 義歯が浮く、硬いものを食べると痛い
-
- 治療
- 下顎ノンクラスプデンチャー(金属併用)
-
- 治療期間
- 約2か月間
-
- 費用
- 33万円(税込)
いわいるノンクラスプデンチャーと言われる、入れ歯に金属のバネを用いない入れ歯でしたが、バネに該当する部分が合っていない状態のため浮き上がりがありました。
ノンクラスプデンチャーはバネに金具を用いないため、審美性は優れていますが、沈み込みを防止するストッパーがつけられていない設計や、入れ歯に求めらる基本設計がなされていない場合もたびたび見受けられお痛みがでる場合も多くあります。

笑うと見える、糸切り歯にバネがかかるため、ノンクラスプデンチャーをご希望されて作製しました。
バネに金属を用いておらず自然な見た目となりました。
症例レポート[CASE.12]
色んな歯医者で何度も作ったが咬めない
-
- 性別・年齢
- 女性(50代)
-
- 主訴
- 入れ歯が合わない、色んな歯医者で何度も作ったが咬めない、もう歯は抜きたくない
-
- 治療
-
- 下顎精密金属床部分入れ歯
- ジルコニアクラウン 1歯
-
- 治療期間
- 約3か月間
-
- 費用
-
- 下顎精密金属床部分入れ歯:55万円
- ジルコニアクラウン:11万円×1歯
合計:66万円(税込)
装着中の入れ歯は、歯茎に接する面積が小さく、強い咬む力を入れ歯が接する歯肉では負担できずお痛みが出ている状態でした。
-

保険の型取り
-

自費の型取り
保険の入れ歯の場合、既成のトレーを用い、ピンクの材料で型を取り入れ歯が出来上がります(保険の型取り)。
ピンクの材料は変形量が大きく、お口の中の状態を正確に入れ歯に再現することはできないため、今回はまず初めにピンクの材料で一度、型をお取りし、その型をもとに、患者様専用のトレーを作製、舌や頬の動きを印記(緑の部分)し、変形量が極めて少ないシリコンを用いて型どりを行いました(自費の型取り)。
同じお口の中ですが、2つの写真で全く形が違うのが分かります。
この型に合わせて入れ歯が出来上がるため、よりお口の中を正確に再現することで、お痛みがでずらい適切な入れ歯をつくることが可能になります。

この入れ歯のバネは、RPIクラスプと呼ばれ、保険のバネと違い、バネをかける歯に極力負担をかけない設計となっているバネになります。このバネにより歯の寿命を長くすることが期待できます。
症例レポート[CASE.13]
違和感なく安定剤なしで話せて、食べられる入れ歯を
-
- 性別・年齢
- 男性(60代)
-
- 主訴
- 上の義歯を以前作ったが話ができず、違和感が強くて入れていられないので削ってもらったが、入れ歯が動いて入れ歯安定剤がないと使えない、安定剤を使っても動く。違和感なく安定剤なしで話せて、食べられる入れ歯を作ってほしい。
-
- 治療
- 上顎精密金属床部分入れ歯
-
- 治療期間
- 約2か月間
-
- 費用
- 55万円(税込)
装着中の入れ歯は、歯茎に接する面積が小さく、強い咬む力を入れ歯が接する歯肉では負担できずお痛みが出ている状態でした。
患者様のお話からも、入れ歯の違和感により、ピンクのプラスチックを大きく削った跡があり、削られた小さい左右の入れ歯を2つ装着されたいました。そのため安定が悪くお食事により入れ歯は動いていることが検査で分かりました。
治療用の入れ歯にて、上顎前方に違和感があることを特定し、調整した入れ歯の形で問題ながくなることを確認後、最終的な入れ歯を作ることで、違和感なく、またお食事でもかたつかない安定する入れ歯ができました。

入れ歯の安定により、入れ歯安定剤なく、お食事ができ、また見た目も改善されました。
症例レポート[CASE.14]
上の歯を綺麗に治したい
-
- 性別・年齢
- 女性(50代)
-
- 主訴
- 上の歯を綺麗に治したい
-
- 治療
-
- 上顎ノンクラスプデンチャー
(チタン併用) - ジルコニアクラウン 9歯
- 上顎ノンクラスプデンチャー
-
- 治療期間
- 約7か月間
-
- 費用
-
- 上顎ノンクラスプデンチャー:33万円
(チタン併用) - ジルコニアクラウン:8.8万円×9歯
合計:112.2万円(税込)
- 上顎ノンクラスプデンチャー:33万円
左奥1本は虫歯で抜歯となりました。
歯がないところには、インプラント、ブリッジ、入れ歯の3つが選択肢となりますが、インプラントには抵抗がおありで、ブリッジの土台の奥歯は歯周病のため、できるだけ負担をかけたくないとのことで、最終的に入れ歯をご希望されました。

見える外側は金属がないバネを用い、見えない内側は違和感が小さく強度に優れ、入れ歯が安定するチタンを用いた部分入れ歯(特殊なノンクラスプデンチャー)
入れ歯では、犬歯にバネがかかりますが「入れ歯と分からないように」とのご希望で、外側のバネは審美性が高く、内側には強度が高く安定性がよく、また違和感が少ないチタンを併用したノンクラスプデンチャーで治療を行いました。

左上に入れ歯を装着されていますが、金属のバネがなく自然な口元に

症例レポート[CASE.15]
ほとんどの歯がぐらぐらして咬めない
-
- 性別・年齢
- 男性(50代)
-
- 主訴
- ほとんどの歯がぐらぐらして咬めない
-
- 治療
-
- 上顎精密金属床総入れ歯
- 下顎精密金属床総入れ歯
- 磁性アタッチメント(白金加金)2歯
-
- 治療期間
- 約6か月間
-
- 費用
-
- 上顎精密金属床総入れ歯:55万円
- 下顎精密金属床総入れ歯:55万円
- 磁性アタッチメント(白金加金):11万円×2歯
合計:132万円(税込)
奥歯は歯周病のため抜けてしまい、残りの歯はぐらぐらで、頻繁に歯ぐきの腫れ、お痛みを繰り返していましたが、歯医者が苦手で放置されていました。
お食事は自然と柔らかいもののみとなってしまい、何とかしなければと受診されました。
保存できない歯は抜歯し、保存可能な歯の根は残し、磁石を用いた義歯としたことで、外れやすい下の総入れ歯は安定し、お口を大きく開けても、お食事でも外れることなく、ほとんどのものが召し上がられるようになられました。
お好きなものが召し上がられるようになり、お食事が楽しく、体重も増えたとのことでした。
治療から7年ほど経ちますが、ご自身での歯磨きも丁寧にされ、メンテナンス時の検査でも問題なく、お痛みなど不具合なく入れ歯装着時と同じ状態を保たれています。
-

入れ歯がない状態
-

入れ歯をした状態

執筆・監修者

逗子海岸歯科
院長堤一輝Ikki Tsutsumi
- 所属学会・認定医
-
- 日本補綴歯科学会 専門医
- 日本口腔インプラント学会
- 日本審美歯科学会
- 日本顎咬合学会
- 日本歯周病学会
- 日本老年歯科医学会
- 有床義歯学会
- メッセージ
-
逗子海岸歯科は、日本補綴歯科学会 専門医である院長の私が、丁寧なカウンセリングと徹底した診断に基づき、お一人おひとりの健康と美しさを考えた歯科医療を最適な治療プランをご提案します。ぜひお気軽にご相談ください。





























































































