日本補綴歯科学会専門医は
高度なスペシャリスト

日本補綴歯科学会専門医は、全国の歯科医師(約10万7千人以上)のうち約1,200名程度(約1%)で、補綴治療の高度な知識と技術を持つスペシャリストです。
日本補綴歯科学会は、1933年に創設され、入れ歯、被せ物、インプラント、咬み合わせなどの学問である歯科補綴分野において、日本で最も権威のある学術団体です。
日本全国にある歯科大学29校の補綴学の教授のうち、27名以上が役員を務め、日本で補綴治療をけん引する全国の歯科大学補綴学講座に所属する歯科医師が必ずと言っていいほど所属する学会です。院長はこの日本補綴歯科学会に15年以上所属し、当学会の数年に及ぶ厳しい専門医資格に合格した日本補綴歯科学会が認定した専門医です。
入れ歯の悩みは解決できる!
精密入れ歯治療

日本補綴歯科学会の専門医である院長は、補綴治療を専門として、長年にわたり取り組んできた「入れ歯治療のスペシャリスト」です。
難しい入れ歯の治療や調整、咬み合わせや見た目の改善など、患者様お一人おひとりのニーズに合わせた細やかな入れ歯治療を得意としています。
その高い知識と技術力は、多くの学会での発表や論文掲載、他の歯科医院からの治療相談や治療依頼も多く寄せられます。
入れ歯のお悩みがあれば、どんなことでもお気軽にご相談ください。
そのお悩み、
諦めなくて大丈夫です!
当院にご相談ください。
あなたの入れ歯のお悩み、きっと解決します。
-
- お悩み 1
-
入れ歯がズレて安定しない
-
- お悩み 2
-
しっかり噛めない
-
- お悩み 3
-
会話がしずらい
-
- お悩み 4
-
歯ぐきにあたり痛い
-
- お悩み 5
-
食べ物が詰まりやすい
-
- お悩み 6
-
入れ歯のにおいが気になる
-
- お悩み 7
-
見た目が良く審美性に優れた
入れ歯がほしい
-
- お悩み 8
-
インプラントができない・
したくない方
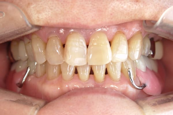
入れ歯の症例
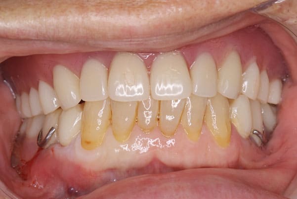
義歯が合わず痛い、
見た目も気になる
-
- 性別・年齢
- 女性(40代)
-
- 主訴
- 下の義歯が合わず入れると痛みがある、見た目も気になるので外にはつけていかない
-
- 治療
- 下顎精密金属床部分入れ歯
-
- 治療期間
- 約2か月間
-
- 費用
- 55万円(税込)
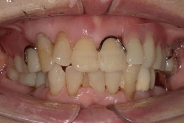
入れ歯がカパカパして痛い、
歯がぐらぐらする
-
- 性別・年齢
- 男性(60代)
-
- 主訴
- 入れ歯がカパカパする、歯がぐらぐらして痛い、食いしばれない
-
- 治療
-
- 上顎精密総金属床総入れ歯
- 下顎精密金属床部分入れ歯
- ジルコニアクラウン4歯
-
- 治療期間
- 約3か月間
-
- 費用
-
- 上顎精密総金属床総入れ歯:55万円
- 下顎精密金属床部分入れ歯:55万円
(ミリング、ラベット加工込み) - ジルコニアクラウン:11万円×4歯
合計:154万円(税込)
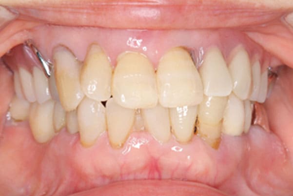
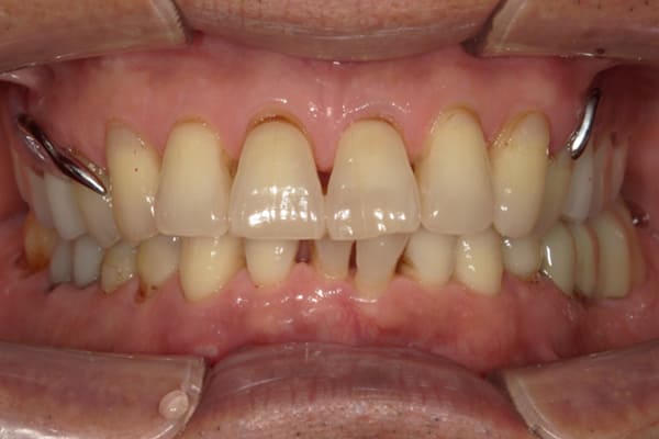
入れ歯が外れる、
見た目も改善したい
-
- 性別・年齢
- 女性(50代)
-
- 主訴
- 入れ歯がガタつく、何度調整してもよくならない。できれば見た目も良くしたい。
-
- 治療
-
- 上顎精密金属床部分入れ歯
- ジルコニアクラウン3歯
-
- 治療期間
- 約4か月間
-
- 費用
-
- 上顎精密金属床部分入れ歯:55万円
(ミリング、ラベット加工込み) - ジルコニアクラウン:11万円×3歯
合計:88万円(税込)
- 上顎精密金属床部分入れ歯:55万円
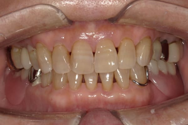
色んな歯医者で何度も作ったが咬めない
-
- 性別・年齢
- 女性(50代)
-
- 主訴
- 入れ歯が合わない、色んな歯医者で何度も作ったが咬めない、もう歯は抜きたくない
-
- 治療
-
- 下顎精密金属床部分入れ歯
- ジルコニアクラウン 1歯
-
- 治療期間
- 約3か月間
-
- 費用
-
- 下顎精密金属床部分入れ歯:55万円
- ジルコニアクラウン:11万円×1歯
合計:66万円(税込)
違和感なく安定剤なしで話せて、食べられる入れ歯を
-
- 性別・年齢
- 男性(60代)
-
- 主訴
- 上の義歯を以前作ったが話ができず、違和感が強くて入れていられないので削ってもらったが、入れ歯が動いて入れ歯安定剤がないと使えない、安定剤を使っても動く。違和感なく安定剤なしで話せて、食べられる入れ歯を作ってほしい。
-
- 治療
- 上顎精密金属床部分入れ歯
-
- 治療期間
- 約2か月間
-
- 費用
- 55万円(税込)
入れ歯の種類

総入れ歯
総入れ歯に抵抗がある方もいるかもしれませんが、現在の技術では精巧な総入れ歯で快適な生活を送ることが可能です。
痛みや外れやすさ、話しづらさ、安定しないといったお悩みがある場合は、今の総入れ歯が合っていない可能性があります。
当院では、お一人おひとりに合う精巧な総入れ歯を作成し、快適な噛み心地を提供していますので、総入れ歯に関するお悩みはどうぞお気軽にご相談ください。

部分入れ歯
部分入れ歯は残された歯と協調して機能回復を目指しますが、最も重要なのは残りの歯を守ることです。
残された歯の健康状態は入れ歯の性能や患者様の悩みに直結するため、歯をいかに健康に保つかが部分入れ歯治療の最重要課題となります。
残された歯の健康維持を最優先に考え、インプラントを利用した入れ歯治療など、様々な選択肢をご用意していますので、お気軽にご相談ください。

ノンクラスプデンチャー
ノンクラスプ入れ歯は金属バネがなく、固定装置と床が同一素材でシンプルかつ審美性に優れています。
プラスチック系のナイロン素材でできており、軽くて弾力性があり、歯ぐきの色調に馴染みやすいのが特徴です。

インプラント入れ歯
多くの総入れ歯の方は安定性や噛む・話すのが難しく、痛みや食べ物の詰まりに悩んでいます。
顎骨の不足によりインプラント治療が難しい場合もありますが、オーバーデンチャーは2~4本のインプラントで入れ歯を安定させ、顎骨の喪失を補う経済的な方法です。
取り外しが簡単で、ブラッシングが苦手な方や高齢者にも適しています。
よくある質問 Q&A
-
- 入れ歯を装着したまま
就寝しても大丈夫ですか? -
入れ歯は、歯茎や口腔粘膜を休ませ、口腔内の衛生状態悪化を防ぐため、基本的に就寝時には外すことが推奨されます。
また、口腔内の衛生状態悪化を防ぐためにも、日々のメンテナンスと合わせて、入れ歯を外して口を休ませることが重要です。
- 入れ歯を装着したまま
-
- 入れ歯が合わないと感じたら
どうすればよいですか? -
入れ歯が合わないと感じたら、自己判断で調整や修理をせず、すぐに歯科医院を受診してください。
放置すると口内炎や咀嚼障害の原因になるため、早めの対応が大切です。
- 入れ歯が合わないと感じたら
-
- 入れ歯だと味覚がおかしくなりますか?
-
入れ歯が厚すぎたり大きすぎたりすると、舌や粘膜の動きを阻害し、味覚の低下や唾液の減少につながります。
解決策として、入れ歯のサイズ調整、アタッチメントの使用、金属床への変更、インプラント治療を検討する方法があります。
-
- 入れ歯治療のリスク・副作用は?
-
- 入れ歯を固定する天然歯に負担がかかることがあります。
- 個人差や使用方法等により、稀に割れたり壊れる可能性があります。
- 入れ歯を固定するため、患者さんの同意を得てから残存歯を削ったり抜歯したりすることがあります。
- 事前に神経の処置(根管治療)や土台(コア)の処置が必要となることがあります。
- 金属を使用する義歯では金属アレルギーの心配があります。
- 使用直後は口腔内に馴染むまで時間がかかることがあります。
- 入れ歯を一定時間装着していないと、残存歯が倒れてきたり抜けたり、支える歯ぐきの骨が下がってくることがあります。
- 咬合(顎位)が変化したり、固定源である残存歯が削れたり抜けたりした場合は、修理・調整が必要になることがあります。
- 定期的なメンテナンス・歯科検診が必要です。
執筆・監修者

逗子海岸歯科
院長堤一輝Ikki Tsutsumi
- 所属学会・認定医
-
- 日本補綴歯科学会 専門医
- 日本口腔インプラント学会
- 日本審美歯科学会
- 日本顎咬合学会
- 日本歯周病学会
- 日本老年歯科医学会
- 有床義歯学会
- メッセージ
-
逗子海岸歯科は、日本補綴歯科学会 専門医である院長の私が、丁寧なカウンセリングと徹底した診断に基づき、お一人おひとりの健康と美しさを考えた歯科医療を最適な治療プランをご提案します。ぜひお気軽にご相談ください。










